Protesi su Impianti
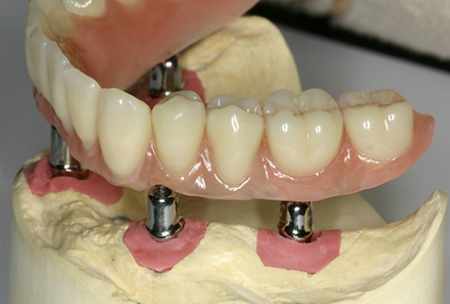
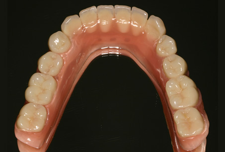
Nei casi di edentulia (Pazienti senza denti) la soluzione più confortevole che la Ca.Ma. srl propone è la protesi (dentiera) su impianti. Consiste nell’inserire da 4 a 6 impianti per arcata (nella maggior parte dei casi 4 impianti sono più che sufficienti) sui quali, a guarigione avvenuta, verrà agganciata una protesi. Questo sistema permette di sviluppare protesi molto sottili,poco ingombranti e senza resina sul palato, esteticamente molto belle e naturali, con una notevole stabilità che dura nel tempo, evitando al Paziente la necessità di utilizzare colle e adesivi per protesi. Le operazioni di pulizia quotidiana di queste protesi sono molto semplici e richiedono poco tempo.


